關於外科ICU的一些事
2010年7月8日 星期四
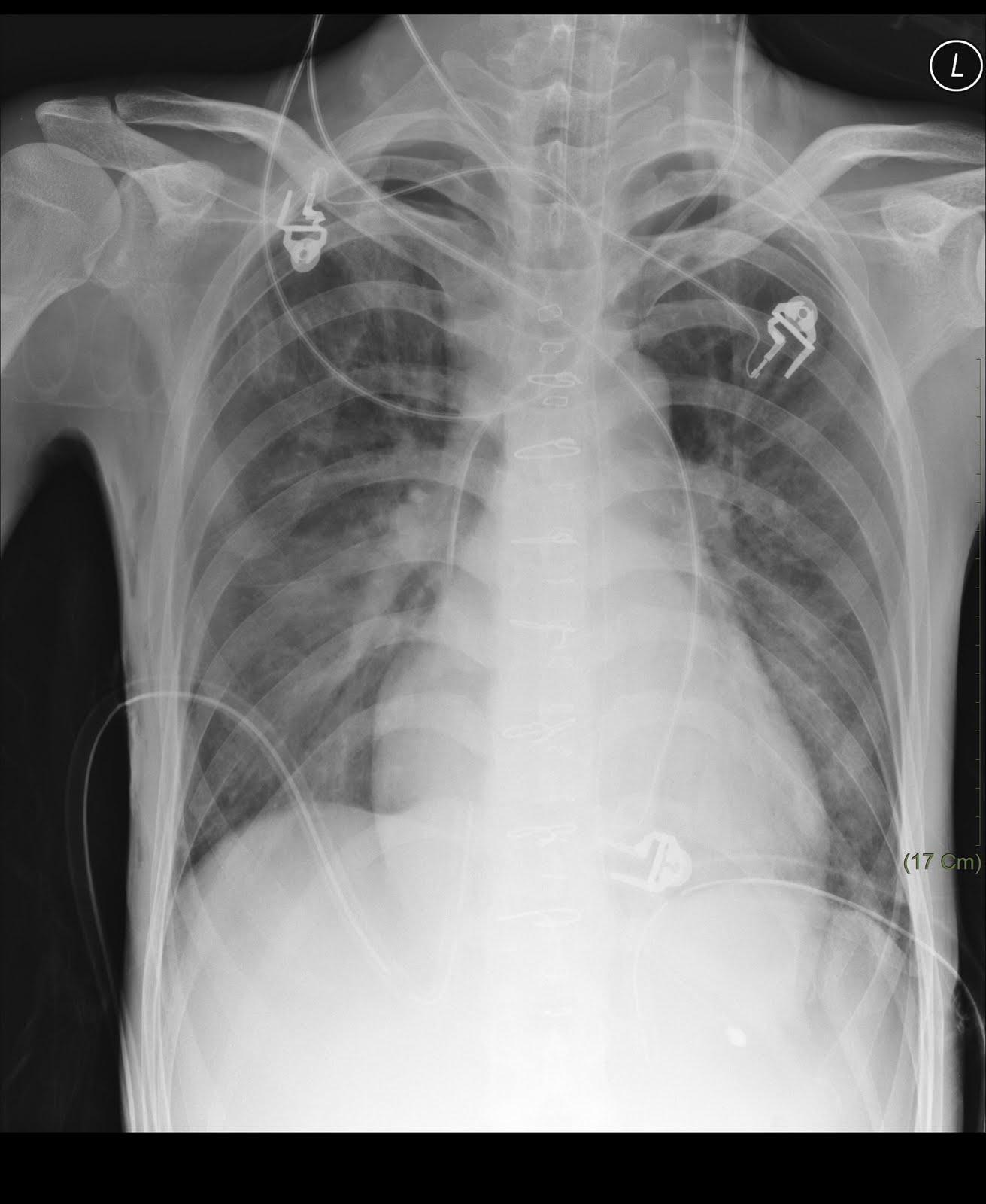
CXR of pneumothorax-1
上圖為右側氣胸(pneumothorax)之CXR,可以明顯的看到在外側2/3肺野(ling field)完全看不到肺紋(lung marking),此CXR中,左側其實也已經放了一根CHEST TUBE了
上圖可以看到右側在放完胸管之後,右肺重新擴張,上一張片子沒有肺紋(黑黑的)的地方已經有肺紋了。
沒有留言:
張貼留言
‹
›
首頁
查看網路版
沒有留言:
張貼留言